L’arthrose de l’épaule : symptômes, cause et traitement
Qu’est-ce que c’est l’arthrose de l’épaule ? Comment la diagnostiquer et la traiter d’une manière efficace ?
Voici nos explications.
Définition de l’arthrose de l’épaule
L’arthrose de l’épaule, aussi appelée omarthrose, correspond à une usure progressive du cartilage articulaire comme pour toutes les autres localisations de l’arthrose.
Cette usure du cartilage peut être soit primitive, c’est-à-dire sans facteurs favorisants, soit secondaire. L’omarthrose primitive peut être d’origine génétique, liée à un terrain polyarthrosique, plus souvent chez les femmes.
L’omarthrose secondaire peut être liée à des antécédants de fracture, de luxations récidivantes, d’une rupture de coiffe ancienne ou d’une maladie inflammatoire chronique comme la polyarthrite rhumatoïde.
Symptômes et causes de l’arthrose de l’épaule
Les deux principaux symptômes sont la douleur et la raideur, qui peuvent être présents en proportion variable selon les patients. Certains patients peuvent être très douloureux avec une épaule mobile alors que d’autres auront une épaule très raide avec assez peu de douleurs jusqu’à un certain stade.
L’omarthrose est souvent bien tolérée pendant de longues années, et la dégradation se fait ensuite assez rapidement avec des douleurs mal soulagées malgré les traitements antalgiques ou anti-inflammatoires.
Les deux principaux symptômes sont la douleur et la raideur, qui peuvent être présents en proportion variable selon les patients. Certains patients peuvent être très douloureux avec une épaule mobile alors que d’autres auront une épaule très raide avec assez peu de douleurs jusqu’à un certain stade.
L’omarthrose est souvent bien tolérée pendant de longues années, et la dégradation se fait ensuite assez rapidement avec des douleurs mal soulagées malgré les traitements antalgiques ou anti-inflammatoires.
Omarthrose centrée de l’épaule
Omarthrose excentrée de l’épaule
Diagnostic de l’arthrose de l’épaule
Examen clinique
L’examen, comprenant l’interrogatoire du patient, va permettre de quantifier le niveau de douleur, de préciser la gêne pour les activités quotidiennes et par conséquent le retentissement fonctionnel de cette arthrose.
L’examen physique permet d’évaluer les mobilités qui sont souvent diminuées, que ce soit par blocage articulaire ou par la douleur, on distinguera ainsi mobilités passives et actives.
On recherchera ses craquements douloureux caractéristiques au stade évolué et d’éventuels blocages en cas de corps étrangers.
L’examen permet d’évaluer aussi la fonction des muscles de l’épaule, que ce soit la coiffe des rotateurs ou le deltoïde, afin de savoir quel type de prothèse pourra être envisagée.
Examens complémentaires
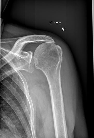
Les radiographies standards sont souvent suffisantes pour poser le diagnostic d’omarthrose. Elles permettent également de préciser s’il s’agit d’une omarthrose centrée c’est-à-dire primitive ou d’une omarthrose excentrée liée à une rupture ancienne de la coiffe des rotateurs qui entraîne une ascension de la tête humérale vers l’acromion. Elles permettent également de localiser la présence d’ostéophytes qui sont des excroissances osseuses générées par l’arthrose, de visualiser du matériel chirurgical (clou, plaque, vis) liés à une intervention précédente pour une fracture par exemple.
Si une intervention chirurgicale est envisagée, des examens d’imagerie plus poussés seront indispensables. L’IRM et le scanner sont en effet souvent requis.
L’IRM permet d’analyser les tendons et les muscles de la coiffe des rotateurs, éléments indispensables avant de choisir entre une prothèse anatomique ou inversée. Le scanner quant à lui va permettre une analyse fine de l’os, avec des analyses en 3D pour apprécier la déformation osseuse.
Le Dr Ciais utilise maintenant la plupart du temps un logiciel de planification 3D permettant de calculer avant l’intervention tous les paramètres de positionnement et de taille de la prothèse. Il s’agit en quelque sorte d’une prothèse « sur mesure ». Ce procédé permet d’augmenter considérablement la précision de la position des implants, et de cette manière d’améliorer le résultat ainsi que la durée de vie de la prothèse.
Il vous sera donc demandé de faire un scanner avec un protocole spécifique pour être en mesure de faire cette planification
Planification Dispatcher
Traitement de l’arthrose de l’épaule
Le traitement dépend de la pathologie en cause. Généralement, la prise en charge est d’abord médicale avant, éventuellement, de devenir chirurgicale la gêne persiste malgré le traitement médical.
Quels sont les différents traitements possibles en dehors de la chirurgie ?
A part à des stades très avancés, le traitement sera toujours médical dans un premier temps.
Celui-ci comporte des mesures hygiéniques de repos articulaire pendant les phases inflammatoires douloureuses ou au contraire d’entretien des mobilités et musculaire pendant les phases non douloureuses.
La kinésithérapie peut être proposée à tous les stades afin de limiter l’enraidissement et l’atrophie musculaire. Elle est d’autant plus intéressante en cas d’omarthrose excentrée puisqu’il s’agit plutôt d’un problème tendineux.
Ainsi, la rééducation permet souvent de repousser l’échéance d’une opération dans ce type d’atteinte. En cas d’omarthrose très évoluée la kinésithérapie est souvent peu efficace voire délétère et susceptible d’augmenter les douleurs.
Le traitement antalgique et anti-inflammatoire par voie orale est souvent efficace, adapté à chaque patient selon sa tolérance aux traitements et afin d’en éviter les effets indésirables.
Si cela s’avère insuffisant, un traitement infiltratif peut être envisagé, en particulier avant le stade d’arthrose évoluée où les infiltrations sont souvent peu efficaces.
Le traitement infiltratif sera réalisé par un rhumatologue ou un radiologue, écho ou radioguidée pour en augmenter la précision et donc l’efficacité.
Les infiltrations de cortisone sont largement utilisées pour leur rôle antalgique et anti-inflammatoire. Les infiltrations d’acide hyaluronique peuvent être proposées pour leur effet chondro-protecteur et ralentir l’évolution arthrosique.
Enfin les injections de PRP (Plasma Riche en Plaquettes) semblent prometteuses mais aucun consensus n’a encore été établi pour leur utilisation.
Traitement chirurgical
Lorsque les douleurs ne sont pas contrôlées malgré les différentes thérapeutiques pas ou peu invasives sus citées, la chirurgie doit être discutée et cela nécessite l’avis d’un chirurgien spécialiste de l’épaule.
Le traitement est principalement prothétique, avec deux grands types de prothèses différents. Dans certains un traitement arthroscopique, c’est-à-dire à l’aide d’une caméra donc moins invasif, peut être proposé.
Comprehensive Arthroscopic Management (CAM) procédure
Cette intervention peut être proposé dans les omarthroses moyennement évoluées, chez des patients jeunes afin de repousser l’échéance d’une prothèse. En aucun cas elle ne permettra un soulagement complet et définitif comme la prothèse.
Elle est réalisée par arthroscopie, et va permettre de réaliser un nettoyage articulaire, une résection des butées osseuses (ostéophyte) et une libération articulaire (arthrolyse). Elle est réalisée par arthroscopie, avec une caméra et de toutes petites incisions pour introduire les instruments.
Il s’agit en général d’une intervention en ambulatoire, suivie d’un protocole de kinésithérapie débutée immédiatement après.
Cette intervention donne de bons résultats chez certains patients et permet de retarder la pose d’une prothèse.
Prothèse d’épaule
La prothèse d’épaule est le traitement de référence pour l’arthrose évoluée. Il s’agit d’un traitement efficace sur les douleurs et permettant de récupérer tout ou partie des amplitudes articulaires.
L’omarthrose regroupe de nombreuses situations très différentes selon la cause de celle-ci : primitive, post-traumatique ou liée à une rupture ancienne des tendons.
Les résultats seront donc assez différents selon les cas et votre chirurgien sera le plus à même de vous dire ce que vous pouvez attendre de cette intervention.
Il existe deux grands types de prothèses : anatomique ou inversée
La prothèse anatomique a été la première à être développée car elle reproduit la forme habituelle de l’épaule, comme la plupart des autres prothèses (hanche, genou, coude, cheville). Elle donne de très bons résultats mais ne convient pas à toutes les situations, notamment quand les tendons de la coiffe des rotateurs sont abîmés. C’est la particularité de cette articulation, qui ne peut pas fonctionner correctement sans ces tendons.
Pour cette raison, la prothèse inversée a été développé depuis les années 1980, et c’est une invention française que l’on doit à Paul Grammont. Ce type de prothèse a été pensé pour pouvoir fonctionner y compris chez des patients n’ayant plus de tendons la coiffe. Comme son nom l’indique, elle est inversée par rapport à l’anatomie normale et la partie sphérique se trouve sur la glène de l’omoplate et non plus sur l’humérus. Cette inversion permet de modifier la biomécanique de l’articulation et faire fonctionner la prothèse grâce à l’action du muscle deltoide qui lui est presque toujours fonctionnel.
Depuis une quarantaine d’années d’énormes progrès ont été réalisés dans la compréhension de cette prothèse et des indications. Ceci a permis d’améliorer considérablement les prothèses elles-mêmes ainsi que la manière de les poser.
Actuellement on estime que 8 prothèses sur 10 posées en France sont des prothèses inversées.
Il s’agit maintenant d’une technique fiable, donnant de très bons résultats et peu de complications.
La prothèse anatomique est donc moins souvent envisagée mais donne d’excellents résultats quand elle est possible.
Rédigez un commentaire sur ce forum public



0 commentaires